
Alternative Names:
aging-associated gene 9 protein; G3P; G3PD; GAPD; GAPDH; glyceraldehyde 3-phosphate dehydrogenase; Glyceraldehyde-3-phosphate dehydrogenase; MGC88685;
Application:
WB IHC ICC/IF IP FC
Reactivity:
H M R Mk Ch Ze Fish
Dilution:
WB 1:3000~1:10000 IHC 1:100~1:500 ICC/IF 1:100~1:250 IP 1:50 FC 1:50

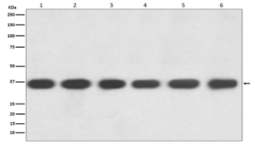
Western blot analysis of GAPDH expression in (1) Hela cell lysate; (2)Jurkat cell lysate; (3)Mouse kidney lysate; (4) Mouse spleen lysate; (5) RAW 264.7 cell lysate; (6) Rat brain lysate with GAPDH Antibody.

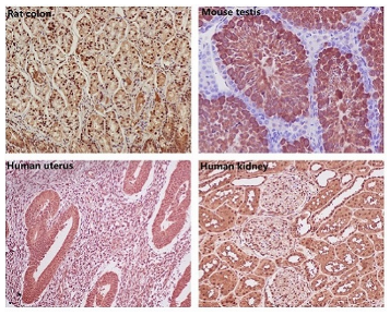
Immunohistochemical analysis of paraffin-embedded (1) Rat colon; (2) Mouse testis; (3) Human uterus; (4) Human kidney, using GAPDH Antibody .

Immunofluorescent analysis of Hela cells, using GAPDH Antibody .
Purification:
Affinity-chromatography
Specificity:
GAPDH Antibody detects endogenous levels of total GAPDH
Immunogen:
A synthesized peptide derived from human GAPDH
Description:
Glyceraldehyde 3 phosphate dehydrogenase (GAPDH) is well known as one of the key enzymes involved in glycolysis. GAPDH is constitutively abundant expressed in almost cell types at high levels, therefore antibodies against GAPDH are useful as loading controls for Western Blotting. Some pathology factors, such as hypoxia and diabetes, increased or decreased GAPDH expression in certain cell types.
Storage Condition and Buffer:
Rabbit IgG in phosphate buffered saline , pH 7.4, 150mM NaCl, 0.02% sodium azide and 50% glycerol. Store at +4°C short term. Store at -20°C long term. Avoid freeze / thaw cycle.