Alternative Names:
ACTIN; ACTB; BETA-ACTIN; beta actin; actin beta;
Application:
WB
Reactivity:
Human Mouse Monkey Rat Hamster Plant
Dilution:
WB 1:3000~1:10000

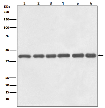
Western blot analysis of beta Actin expression in (1) Hela cell lysate, (2) Human liver lysate, (3) 3T3 cell lysate, (4) Mouse brain lysate, (5) PC12 cell lysate, (6) Rat heart lysate.
Purification:
Affinity-chromatography
Specificity:
beta Actin Antibody(HRP Conjugated) detects endogenous levels of total beta Actin
Immunogen:
A synthesized peptide derived from human beta Actin
Description:
beta-Actin is one of six different actin isoforms that have been identified. The actin molecules found in cells of various species and tissues tend to be very similar in their immunological and physical properties. Therefore, Antibodies against beta-Actin are useful as loading controls for Western Blotting. However it should be noted that levels of beta-Actin may not be stable in certain cells. For example, expression of beta-Actin in adipose tissue is very low and therefore it should not be used as loading control for these tissues.
Storage Condition and Buffer:
Rabbit IgG in phosphate buffered saline , pH 7.4, 150mM NaCl, 0.02% sodium azide and 50% glycerol. Store at +4°C short term. Store at -20°C long term. Avoid freeze / thaw cycle.