025-69797641
181 0158 2701
以创新为生存之源,以质量为发展之本,为生命科学事业发展,贡献一份力量!
点击了解更多>>
丰渺生物
Cmvbio
Engineered to move the human spirit! The Relentless Pursuit of Perfection! No business too small, no problem too big.
PRODUCT / 产品详情
Anti-Histone H3 antibody

Anti-Histone H3 antibody

0.00
0.00
  
产品规格:


Alternative Names:

Histone H3.1, Histone H3, HIST1H3A;


Application:

WB IHC ICC/IF FC


Reactivity:

Human Mouse Rat


Dilution:

WB 1:1000~1:2000 IHC 1:50~1:200 ICC/IF 1:100~1:500 FC 1:50

Western blot analysis of Histone H3 expression in (1) HeLa cell lysate; (2) NIH/3T3 cell lysate; (3) Rat brain lysate.

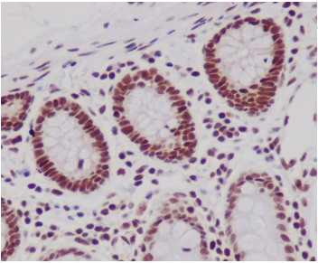
Immunohistochemical analysis of paraffin-embedded human colon, using Histone H3 Antibody.

Immunofluorescent analysis of HeLa cells, using Histone H3 Antibody.

Histone methyltransferase NSD2 regulates apoptosis and chemosensitivity in osteosarcoma. -Cell Death and Disease


Purification:

Affinity-chromatography


Specificity:

Anti-Histone H3 antibody detects endogenous levels of total Histone H3


Immunogen:

A synthesized peptide derived from human Histone H3


Description:

Belongs to the histone H3 family. Play a central role in transcription regulation, DNA repair, DNA replication and chromosomal stability. DNA accessibility is regulated via a complex set of post-translational modifications of histones, also called histone code, and nucleosome remodeling.


Storage Condition and Buffer:

Rabbit IgG in phosphate buffered saline , pH 7.4, 150mM NaCl, 0.02% sodium azide and 50% glycerol. Store at +4°C short term. Store at -20°C long term. Avoid freeze / thaw cycle.

  • 姓名
  • 单位
  • 电话
  • 内容
提交