Alternative Names:
Cyclin; DNA polymerase delta auxiliary protein; MGC8367; PCNA; Proliferating cell nuclear antigen
Application:
WB IHC ICC/IF IP FC
Reactivity:
Human Mouse Rat
Dilution:
WB 1:3000~1:10000 IHC 1:50~1:200 ICC/IF 1:100~1:500 IP 1:50~1:100 FC 1:200~1:500

Western blot analysis of PCNA expression in (1) Hela cell lysate; (2) HepG2 whole cell lysate; (3) U937 whole cell lysate; (4) Mouse spleen lysate with PCNA Antibody.

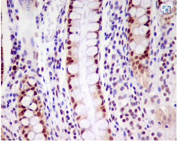
Immunohistochemical analysis of paraffin-embedded human colon, using PCNA Antibody.
Purification:
Affinity-chromatography
Specificity:
Anti-PCNA antibody detects endogenous levels of total PCNA
Immunogen:
A synthesized peptide derived from human PCNA
Description:
PCNA This protein is an auxiliary protein of DNA polymerase delta and is involved in the control of eukaryotic DNA replication by increasing the polymerase's processibility during elongation of the leading strand. Belongs to the PCNA family. Homotrimer. Forms a complex with activator 1 heteropentamer in the presence of ATP.
Storage Condition and Buffer:
Rabbit IgG in phosphate buffered saline , pH 7.4, 150mM NaCl, 0.02% sodium azide and 50% glycerol. Store at +4°C short term. Store at -20°C long term. Avoid freeze / thaw cycle.