Alternative Names:
Beta 4 tubulin; Beta 5 tubulin; Beta1 tubulin; Tubulin beta chain; Tubulin beta class I;
Application:
WB IHC ICC/IF FC
Reactivity:
Human Mouse Rat
Dilution:
WB 1:3000~1:10000 IHC 1:50~1:200 ICC/IF 1:50~1:200 FC 1:100

Western blot analysis of beta Tubulin expression in (1) MCF-7 cell lysate; (2) COS-1 cell lysate; (3) Jurkat cell lysate; (4) HeLa cell lysate.

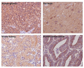
Immunohistochemical analysis of paraffin-embedded (1) Human glioma; (2) Rat brain; (3) Mouse kidney; (4) Human uterus cancer, using beta Tubulin Antibody.

Immunofluorescent analysis of NIH/3T3 cells, using beta Tubulin Antibody .
Purification:
Affinity-chromatography
Specificity:
Anti-beta Tubulin antibody detects endogenous levels of total beta Tubulin
Immunogen:
A synthesized peptide derived from human beta Tubulin
Description:
Tubulin is the major constituent of microtubules. It binds two moles of GTP, one at an exchangeable site on the beta chain and one at a non-exchangeable site on the alpha-chain.
Storage Condition and Buffer:
Rabbit IgG in phosphate buffered saline , pH 7.4, 150mM NaCl, 0.02% sodium azide and 50% glycerol. Store at +4°C short term. Store at -20°C long term. Avoid freeze / thaw cycle.